Before & After

Actual patients treated at Frankowitz Orthodontics

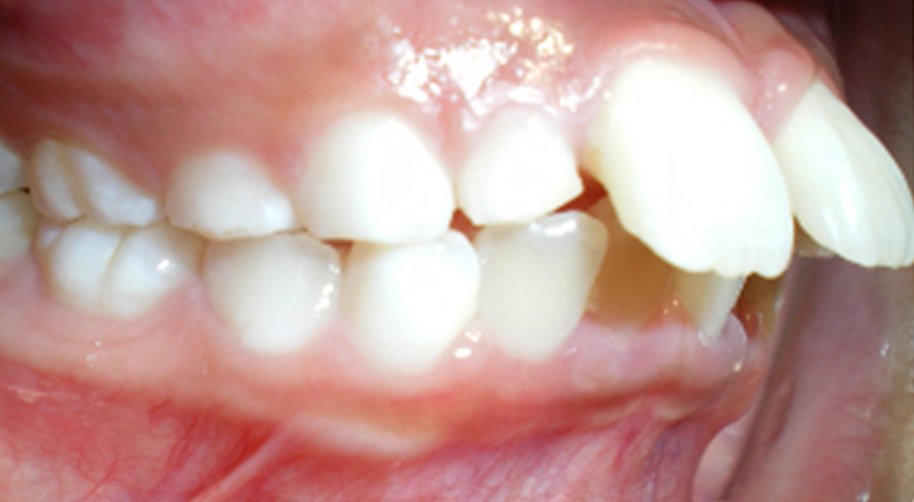
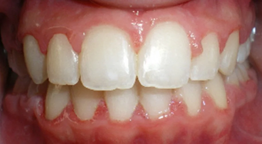
Crowding

Contact for More Information

Underbite and Spacing

Contact for More Information

Spacing and Anterior Open Bite

Contact for More Information

Severely Protruded Upper Teeth

Contact for more information

Missing Upper Lateral Incisors

Contact for More Information

Severe Underbite

Contact for more information

Missing Upper Lateral Incisors and Lower Central Incisors

Contact for More Information

A challenging case, a wonderful result, and a delighted patient.

Binyamin presented with an underlying jaw discrepancy. 4 permanent teeth were impacted (unable to erupt on their own) and had to be surgically exposed. He also needed 4 premolars extracted. A large growth spurt caused his underbite to increase to -5.5 mm (which is considered very severe). Except for the surgically exposed teeth and tooth extractions, Binyamin's teeth were treated with orthodontics alone. No jaw surgery was used to treat this case.